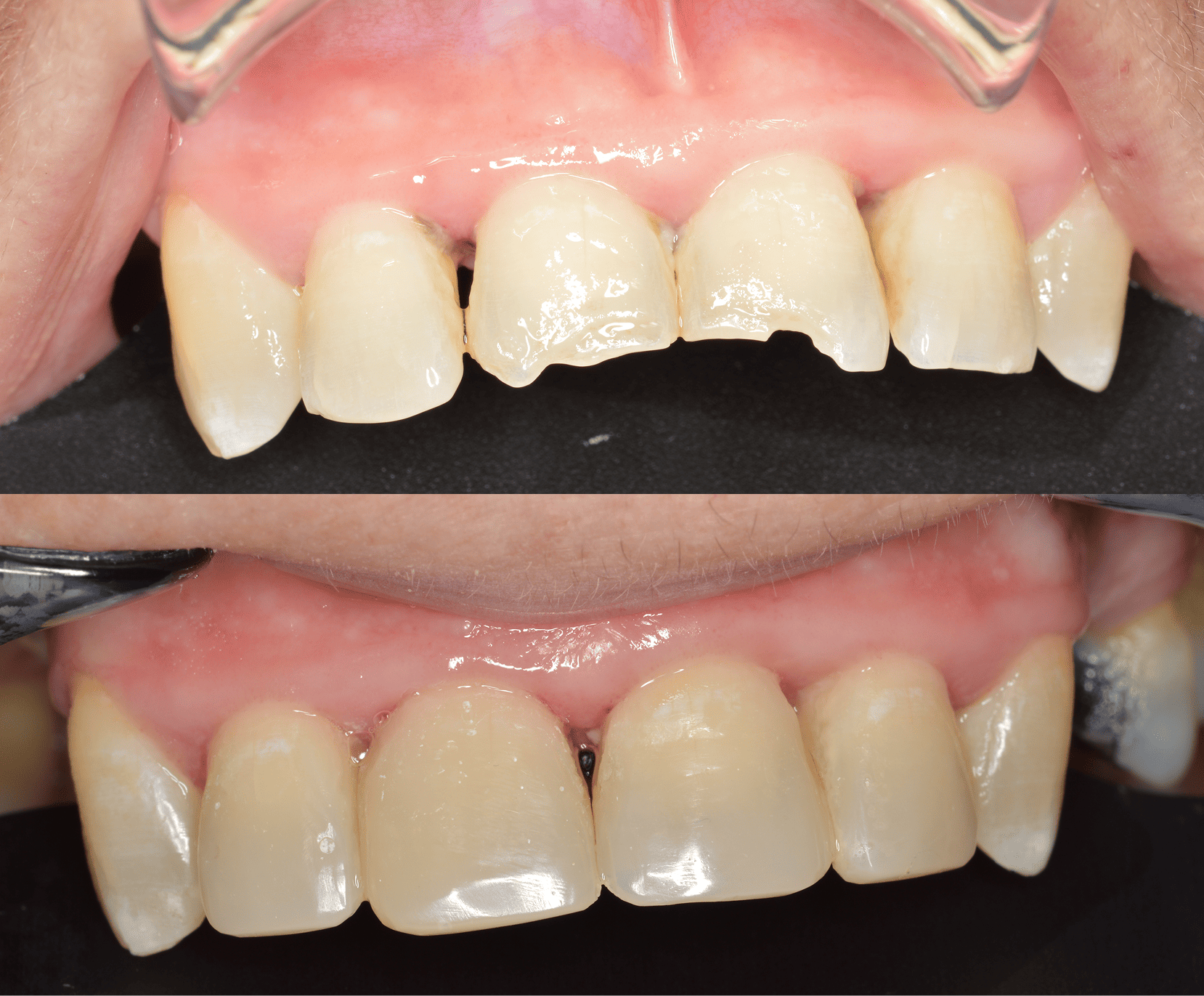
Have you noticed your teeth looking shorter, darker, or more sensitive than before? Tooth wear is a common condition that often develops slowly over time, and many people don’t realise they have it until the changes are quite noticeable. The causes can include diet, tooth grinding (bruxism), acid reflux, or — in many cases — a combination of these factors.
At Root Dental Clinic, we specialise in the conservative management of the worn dentition. Our first step is always to take detailed baseline records of your teeth and carry out a thorough questionnaire to understand the underlying cause of the wear.
From there, we’ll discuss your options, which can range from simple preventive measures to stop further damage, to full restorative treatment to bring back the smile you once had. For many restorative cases, we use composite veneers with minimally invasive methods that add white filling material to your teeth without removing healthy tooth tissue. This approach allows us to rebuild worn teeth with precision while preserving as much of your natural tooth as possible.
Our dentists not only use these techniques for their patients at Root Dental Clinic, but they also teach them to dentists locally and internationally — helping other clinicians offer the same high standard of care to their patients.



